Foot Pain, Calcaneal Spur & Plantar Fasciitis

Foot Pain, Calcaneal Spur & Plantar Fasciitis – Ayurveda, Siddha, Homeopathy & Physiotherapy

Foot Pain, Calcaneal Spur & Plantar Fasciitis – Ayurveda, Siddha, Homeopathy & Physiotherapy

What is Foot Pain, Calcaneal Spur & Plantar Fasciitis?

What is Foot Pain, Calcaneal Spur & Plantar Fasciitis?

Foot pain, especially in the heel and arch, can be due to various reasons, the most common being: 

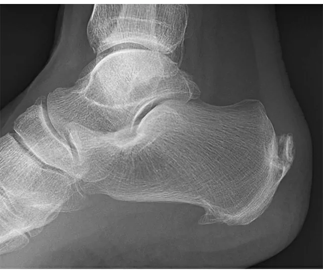
  1. Calcaneal Spur – A bony growth (osteophyte) on the heel bone (calcaneus) due to prolonged stress. 
  2. Plantar Fasciitis – Inflammation of the plantar fascia, a thick ligament connecting the heel to the toes. 

These conditions cause sharp pain in the heel, especially after waking up or long-standing. 

Causes of Foot Pain & Heel Spurs

Causes of Foot Pain & Heel Spurs 

  1. Overuse & Excessive Standing – Common in teachers, athletes, and factory workers. 
  2. Obesity & Overweight – Increased pressure on the foot. 
  3. Poor Footwear – Hard soles, high heels, or unsupportive shoes. 
  4. Flat Feet or High Arches – Alters foot biomechanics. 
  5. Calcium Deposits – Leads to spur formation. 
  6. Kapha-Vata Dosha Imbalance (Ayurvedic View) – Causes stiffness & inflammation. 
Symptoms of Calcaneal Spur & Plantar Fasciitis

Symptoms of Calcaneal Spur & Plantar Fasciitis 

  1. Heel Pain (Worst in the Morning) – First steps after waking up are painful. 
  2. Sharp, Stabbing Pain in the Heel – Increases after prolonged walking or standing. 
  3. Swelling & Tenderness in the Heel – Inflammation of the fascia. 
  4. Burning or Tingling Sensation in the Foot – Indicates nerve involvement. 
  5. Pain that Decreases with Movement – Improves slightly after walking. 

Treatment Options for Foot Pain, Calcaneal Spur & Plantar Fasciitis


 Ayurvedic Treatment
Ayurveda for Heel Pain & Calcaneal Spur 

According to Ayurveda, Kapha-Vata imbalance causes stiffness and inflammation in the heel. 

Ayurvedic Herbs for Foot Pain Relief 
  1. Shallaki (Boswellia Serrata) – Reduces bone inflammation. 
  2. Ashwagandha – Strengthens bones & reduces pain. 
  3. Guggulu (Yograj & Kaishore Guggulu) – Removes toxins & relieves joint stiffness. 
  4. Dashamoola (Ten Root Formula) – Reduces inflammation in muscles & ligaments. 
  5. Eranda (Castor Oil Therapy) – Relieves heel pain & stiffness. 
Ayurvedic Therapies for Foot Pain Relief 
  1. Abhyanga (Warm Herbal Oil Massage) – Using Mahanarayana & Dhanwantharam oil. 
  2. Panchakarma Detox (Vasti & Swedana) – Removes toxins from joints. 
  3. Podi Kizhi (Herbal Poultice Therapy) – Reduces foot inflammation. 
  4. Kati Basti (Warm Oil Therapy on Heel) – Provides deep healing. 

 Siddha Treatment
Siddha Medicine for Foot Pain & Heel Spurs 
  1. Vatha Samana Chooranam – Reduces inflammation & heel pain. 
  2. Gandha Thailam – Strengthens foot bones & ligaments. 
  3. Maharaja Prasarini Thailam – Excellent for foot stiffness & pain. 
  4. Siddha Varma Therapy – Corrects nerve & muscle imbalances in the foot. 
  5. Manjishtadi Kashayam – Detoxifies and removes calcium deposits.

 Homeopathic Treatment
Homeopathy for Calcaneal Spur & Plantar Fasciitis 
  1. Calcarea Fluor 6X – Reduces heel spurs. 
  2. Rhus Tox 200C – Relieves morning stiffness. 
  3. Hypericum 200C – Nerve pain relief in the heel.
  4. Arnica 200C – Reduces swelling & inflammation. 
  5. Ledum Palustre 30C – Reduces deep foot pain. 

 physiotherapy treatment
Physiotherapy for Heel Pain & Spur 
  1. Stretching Exercises – Reduces plantar fascia tightness. 
  2. TENS Therapy (Electrical Nerve Stimulation) – Reduces nerve pain. 
  3. Foot Rolling Exercise (Frozen Water Bottle Method) – Relaxes foot fascia. 
  4. Calf Muscle Strengthening – Supports foot arch & prevents pain. 
  5. Shockwave Therapy – Helps break heel spurs. 

Diet for Foot Pain, Calcaneal Spur & Plantar Fasciitis Prevention & Management

Foods to Eat
  1. Calcium & Magnesium-Rich Foods – Sesame seeds, ragi, almonds, dairy. 
  2. Omega-3-Rich Foods – Flaxseeds, walnuts, ghee. 
  3. Turmeric & Ginger – Natural anti-inflammatory agents. 
  4. Warm Herbal Teas & Soups – Nourishes bone tissues. 
Foods to Avoid
  1. Cold & Processed Foods – Aggravates Kapha dosha. 
  2. Excess Sugar & Refined Carbs – Increases inflammation. 
  3. Red Meat & Alcohol – Worsens joint pain. 

Yoga & Lifestyle for Heel Pain Relief

Daily movement is key to preventing stiffness & inflammation. 

Best Yoga Poses for Heel Pain Relief: 

  1. Viparita Karani (Legs-Up-The-Wall Pose) – Improves foot circulation. 
  2. Tadasana (Mountain Pose) – Enhances foot alignment. 
  3. Vrikshasana (Tree Pose) – Strengthens foot arch. 
  4. Adho Mukha Svanasana (Downward Dog Pose) – Stretches plantar fascia. 

Lifestyle Tips for Foot Pain Relief: 

  1. Proper Footwear – Use cushioned arch support shoes. 
  2. Avoid Walking Barefoot on Hard Surfaces – Prevents heel stress. 
  3. Ice Therapy – Reduces inflammation & swelling. 
  4. Epsom Salt Foot Soak – Relieves pain & relaxes foot muscles. 
  5. Weight Management – Reduces pressure on heels. 

Self-Care for Heel & Foot Health 

Every individual must dedicate time daily for self-care: 

  1. 15 min Foot Exercises – Prevents heel pain. 
  2. 30 min Walking/Yoga – Enhances flexibility & mobility. 
  3. Warm Oil Massage & Foot Soak – Reduces stiffness.
  4. Adequate Sleep & Stress Management – Crucial for healing. 

Conclusion 

Heel pain, calcaneal spurs, and plantar fasciitis require a holistic approach through Ayurveda, Siddha, Homeopathy, and Physiotherapy. By reducing inflammation, improving foot flexibility, and balancing doshas, one can achieve long-term relief & better mobility. 

Consult our doctors for a personalized treatment plan at Naljeevan Ayush Clinic.
For Enquiry

About Us

Naljeevan Ayush Clinic is dedicated to promoting healthy and happy lives by combining ancient Ayurvedic and Ayush knowledge with modern progress.

Address

No. 1, Ground Floor, JD Towers, Nanjundeswarar Nagar, Rayakottah Housing Board, Hosur - 635109

Contact

+91 97873 33327

info@naljeevanayush.in

© 2026, Naljeevan Ayush Clinic. All Rights Reserved. Powered by Beyondweb Technologies

Whatsapp